诊断肿瘤,鸽子也要来帮忙?
2015-11-24 9:02:02
在小小的“工作室”中,一只鸽子凝视着屏幕上粉紫色调的染色切片图像,这些图像来自患者病变的乳腺组织。在触屏的两边,分别显示着黄蓝两色的选择按钮——一边代表良性,一边代表恶性,此时,“鸽子医生”要作出它的判断。

正在观察病理切片图像的鸽子。图片来自:参考资料1
这样的一幕看起来有些荒诞:辨别组织切片本应该是训练有素的病理医生的工作才对,鸽子又能懂什么呢?不过,在最近发表的一项研究中[1],科学家们却真的一本正经地训练鸽子认起了肿瘤切片。他们对鸽子们进行了一系列病理切片和医学影像的鉴别训练。一开始,鸽子们判断切片的正确率只有50%(当然,这也就是随便瞎选的命中率),而在经过15天的训练之后,鸽子们的判断正确率就提升到了85%左右。对于丝毫没有接触过病理学的它们来说,这个成绩可算是相当不错了。
但是,究竟为什么要让鸽子学习如何识别肿瘤呢?难道在将来,我们就要看到这些鸽子披上白大褂到医院上岗了吗?不,当然不是这样,鸽子又不懂医学,也没法沟通,怎么能真的把诊断这么重要的任务交给它们呢。不过,学会识别切片的鸽子,倒是真有它们的应用潜能。
目标:改进技术
在传统的病理学诊断中,经过训练的病理医生们会直接通过显微镜观察组织细胞的形态,并通过种种迹象判断病变部位到底出了什么问题。而现在,这个学科也正在变得越来越数字化,很多显微图像以数字文档的形式储存和共享,医生和病理学家们也要更多地在屏幕上进行观察了。
病理切片图像的细节十分繁复,而数字图像的处理方式、屏幕的显示都可能对它的细节展示造成影响,并影响医生的判断,因此对这些技术进行评估和改进很有必要。不过,和很多其他的诊断技术不同,改进病理学技术的研究实行起来要麻烦得多。这是因为,经验丰富的病理医生是这个领域唯一可靠的标准,靠他们来对这些技术一一进行人工评判会很花时间,成本也相当高。虽然现在也有一些基于计算机的辅助替代品,但它们模拟真人的表现并不那么尽如人意。

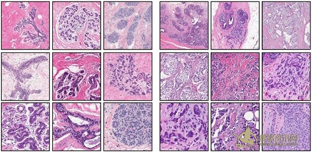
研究中使用的一些病理切片图片,病理图片中有大量繁复的细节。图片来自:参考资料1
因此,研究者们希望找到一些能够替代病理学家进行技术改进研究的实验对象,于是,他们就选中了鸽子。
为什么是鸽子?
那么,为什么不是训练别的动物,而且鸽子呢?其实,这个选择也很有道理。从此前的研究来看,鸽子在图形辨别方面的表现十分出色。它们可以区分英文字母,检出胶囊中的残次品,识别人脸的特征和表情,甚至还会区分莫奈和毕加索的画作[2]。不仅如此,鸽子们的图形记忆也十分了得,它们可以记住并回忆起1800张图片[3]。
为了训练鸽子,研究者们制作了一个专门的迷你“读片室”,并利用食物训练鸽子啄触屏上的选择按钮作出判断。他们首先利用144张不同难度的病理图片对鸽子进行了训练,随着训练进行,鸽子们选择的正确率逐渐上升到了85%左右。不过,它们究竟是理解了良性和恶性细胞的规律,还是只是单纯地记住了图片本身呢?为了验证这一点,研究者们又在测试中加入了一批新的图片。结果显示,鸽子们确实掌握了分辨组织切片的规律,面对第一次看到的新图片,它们也保持了与老图片一致的正确率。除了病理图片,研究者们还成功教会了鸽子识别乳房X光检查的图像。
85%的正确率离完美还差得很远,不过,这也显示了鸽子用于病理学技术改善的应用潜力。与计算机模拟相比,鸽子们的视觉处理系统也与人类更相近一些。将来,在这些“鸽子病理医生”的帮助下,真正的病理医生们或许就可以用上更加先进的图像处理和显示技术了。(编辑:窗敲雨)
文章题图: shutterstock 友情提供